logo

News
detail
新闻详情
09.14行业资讯

脐带血免疫疗法新突破 67岁晚期肝癌患者肿瘤缩小60%

浏览次数:2988

分享

脐带血,生命之初的宝贵资源。近年来脐带血在医学研究领域展现了诸多潜力,尤其是在干细胞疗法和免疫治疗方面,它不仅富含多种类型的干细胞,为再生医学和遗传性疾病治疗提供了广阔前景,还蕴藏着一类独特的免疫细胞群体,如T细胞、自然杀伤(NK)细胞以及树突状细胞等,这些细胞在对抗疾病,尤其是癌症治疗中扮演着至关重要的角色。

NK细胞,作为机体免疫防御体系中的一支精锐部队,能力超群又冷静克制。

它们拥有一套高明的分辨系统,能精准区分身体里的好细胞和有问题的细胞。NK细胞工作时,它们依靠一些特殊的感应器,比如KIRs和NCRs,去检查细胞表面的标记,这些标记就像是细胞的身份证,告诉NK细胞这是“自己人”还是“外来的敌人”。有了这样的识别方法,NK细胞就能既高效地消灭那些受伤或被病毒入侵的细胞,又不会不小心伤害到健康的组织。这展现了免疫系统精妙的自我调控能力,既强大又讲究分寸。

NK细胞还有个特别厉害的本领,就是能调节身体的免疫力。它们会释放一些叫做细胞因子的“小信使”,比如IFN-γ和TNF-α,这些“小信使”不仅能增强NK细胞自己打击敌人(比如病毒和癌细胞)的能力,还能唤醒和组织其他免疫部队(像巨噬细胞、树突状细胞、T细胞和B细胞)一起战斗,形成了一个强大又复杂的防御网。想象一下,这些细胞因子就像在战场上发信号,让所有免疫战士们协作得更好,更有效地对抗感染和阻止肿瘤长大。

近年来,医生们在治疗像乳腺癌和多发性骨髓瘤这些严重的癌症时,发现了一种叫做脐带血NK细胞疗法的新方法,效果很好,并且副作用小。这给那些用传统化疗效果不佳或者身体无法承受的病人带来了新的治疗希望。另外,研究人员们也正在努力研究怎样改进NK细胞,让它们更精准地发现并杀死癌细胞,同时保护好身体里其他正常的细胞,这样既能提高治病的效果,又能减少对身体的伤害。


新突破,肿瘤缩小60%!

肝癌,作为一种全球范围内高发且预后较差的恶性肿瘤,对传统治疗手段如化疗和放疗的响应有限,迫切需要探索新型有效的治疗方案。而脐带血来源的NK细胞因其独特的生物学特性,如更强的增殖能力、更低的免疫排斥反应以及更高效的肿瘤杀伤能力,成为抗癌研究的焦点。



6401.webp (1)


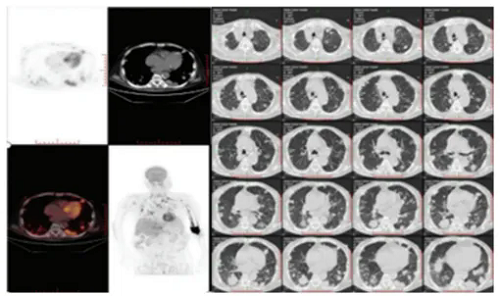
近期,在《Alternative Therapies in Health & Medicine》期刊中刊载的案例研究揭示了免疫疗法在晚期癌症治疗中的突破性进展,尤其是针对那些传统疗法效果有限的复杂病例。该研究报告详细记录了一位我国67岁男性肝癌患者的治疗过程。患者于2021年发现晚期肝癌,因伴随有大量肿瘤转移的情况,涉及肺部、淋巴结乃至骨髓,病情极度不乐观。



6402.webp

图1 从左图可以看到患者全身已出现大面积肿瘤转移



患者在过去一年中与病魔进行了艰难的斗争,尽管经历了多种标准治疗方案,但病情依然持续恶化。面对这样的治疗困境,医疗团队决定采取一种新策略——将脐带血来源的自然杀伤细胞(NK细胞)与单克隆抗体(单抗)疗法相结合,通过激活并引导患者自身的免疫系统更精准地识别并消灭癌细胞。该治疗方案计划在初次给药后的第1、14、28及42天,分四次静脉回输总计12×10^9个脐带血衍生的NK细胞。脐带血NK细胞具有强大的增殖能力、更少的免疫排斥反应以及对肿瘤细胞的高度识别与杀伤力,结合使用单克隆抗体,则进一步增强了这种免疫疗法的针对性和效力。



6403.webp

图2 从左图可以看到,经过治疗后患者全身肿瘤有非常明显的减少



经过一段时间的治疗后,患者的病情出现了显著改善。最明显的变化是,其原发肝部肿瘤体积缩小了60%,而肺部、淋巴结及骨骼中的转移病灶则减少了高达90%。

这一案例的成功,不仅为晚期肝癌及伴有远处转移的患者带来了新的希望,也强有力地证明了免疫疗法在精准医疗时代的巨大潜力。它强调了通过多模式、个体化治疗策略克服传统治疗瓶颈的重要性,同时也提醒我们未来癌症治疗可能的发展方向——即通过深度理解每位患者的肿瘤微环境和免疫状态,定制化地调用并优化机体的自然防御机制来对抗癌症。

尽管这一案例展示了显著的治疗效果,但仍需更多大规模的临床试验和长期随访数据以验证其普遍适用性和长期安全性。此外,探索不同免疫疗法组合的最佳剂量、时机以及患者筛选标准,是未来重要的研究方向。我们相信,随着科技的进步,脐带血里的NK细胞会被改造成更强大的武器,为人们的健康做出更大的贡献。





参考文献:

Wang X, Zhang J, Li Y, Wang Y, Wang R, Chen Y, Chen C, Tian Y. Exploration of Personalized Treatment for Advanced Hepatocellular Carcinoma: Combination Therapy of Selinexor, Palbociclib, and Pembrolizumab with Umbilical Cord Blood NK Cells. Altern Ther Health Med. 2024 Mar 1:AT9944. Epub ahead of print. PMID: 38430161.